北浦和の歯医者【トンボ歯科クリニック 北浦和】

048-825-6500

症例集

矯正歯科の症例

case.1 前歯の隙間気になる

BEFORE

AFTER

 

主訴 前歯の隙間気になる
治療期間 4ヶ月
治療費 440,000円(税込)
治療内容 クリアコレクト、マウスピース矯正
治療のリスク 歯根吸収・歯肉炎・顎関節症・虫歯・装置による違和感や口内炎・歯の移動に伴う痛み・治療期間の延長・歯肉退縮等、その他リスクが生じる可能性はあります。

case.2 前歯のでこぼこが気になる

BEFORE

AFTER

 

主訴 前歯のでこぼこが気になる
治療期間 10ヶ月
治療費 550,000円(税込)
治療内容 クリアコレクト、マウスピース矯正
治療のリスク 歯根吸収・歯肉炎・顎関節症・虫歯・装置による違和感や口内炎・歯の移動に伴う痛み・治療期間の延長・歯肉退縮等、その他リスクが生じる可能性はあります。

case.3 八重歯が気になる

BEFORE

AFTER

 

主訴 八重歯が気になる
治療期間 1年
治療費 737,000円(税込)
治療内容 クリアコレクト、マウスピース矯正
治療のリスク 歯根吸収・歯肉炎・顎関節症・虫歯・装置による違和感や口内炎・歯の移動に伴う痛み・治療期間の延長・歯肉退縮等、その他リスクが生じる可能性はあります。

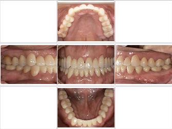
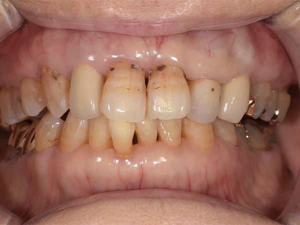
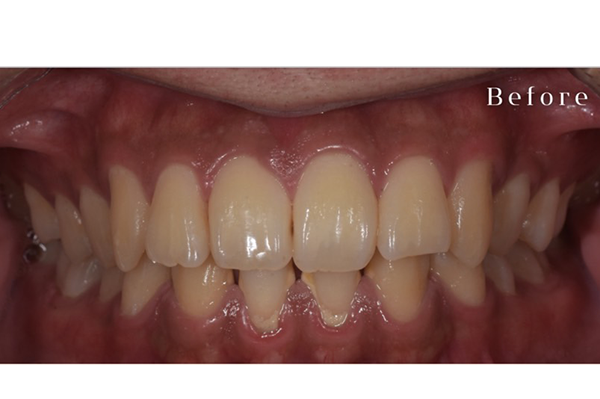
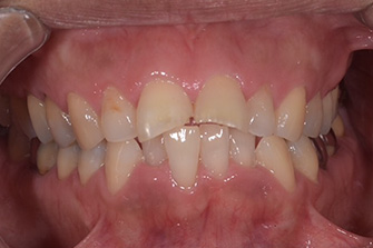
case.4 見た目が気になる

BEFORE

AFTER

 

主訴 見た目がきになる
治療期間 1年6ヶ月
治療費 770,000円(税込)
治療内容 ワイヤー矯正
治療のリスク 歯根吸収・歯肉炎・顎関節症・虫歯・装置による違和感や口内炎・歯の移動に伴う痛み・治療期間の延長・歯肉退縮等、その他リスクが生じる可能性はあります。

case.5 八重歯が気になる

BEFORE

AFTER

 

主訴 八重歯が気になる
治療期間 1年4ヶ月
治療費 737,000円(税込)
治療内容 クリアコレクト、マウスピース矯正
治療のリスク 歯根吸収・歯肉炎・顎関節症・虫歯・装置による違和感や口内炎・歯の移動に伴う痛み・治療期間の延長・歯肉退縮等、その他リスクが生じる可能性はあります。

case.6 見た目が気になる

BEFORE

AFTER

 

主訴 見た目が気になる
治療期間 1年
治療費 550,000円(税込)
治療内容 クリアコレクト、マウスピース矯正
治療のリスク 歯根吸収・歯肉炎・顎関節症・虫歯・装置による違和感や口内炎・歯の移動に伴う痛み・治療期間の延長・歯肉退縮等、その他リスクが生じる可能性はあります。

case.7 見た目が気になる

BEFORE

AFTER

 

主訴 見た目が気になる
治療期間 8ヶ月
治療費 550,000円(税込)
+上顎前歯ジルコニアクラウン99,000(税込)×2
治療内容 クリアコレクト
治療のリスク 歯根吸収・歯肉炎・顎関節症・虫歯・装置による違和感や口内炎・歯の移動に伴う痛み・治療期間の延長・歯肉退縮等、その他リスクが生じる可能性はあります。

case.8 見た目が気になる

BEFORE

AFTER

 

主訴 見た目が気になる
治療期間 1年
治療費 550,000円(税込)
治療内容 クリアコレクト
治療のリスク 歯根吸収・歯肉炎・顎関節症・虫歯・装置による違和感や口内炎・歯の移動に伴う痛み・治療期間の延長・歯肉退縮等、その他リスクが生じる可能性はあります。

ホワイトニングの症例

case.1

BEFORE

AFTER

 

施術内容

23歳男性 非喫煙者

初診時に検診・クリーニング。

主訴 検診・ホワイトニング
治療期間 1ヶ月
治療費 保険範囲内のクリーニングとホワイトニング8回購入(29,700円)
→6回分の回数券を使用
治療内容 オフィスホワイトニング6回照射
・クリーニング
・ポリリン酸ジェル:過酸化水素(1:3)
薬剤を歯の表面に塗布し、LED照射し歯を漂白する治療
治療箇所:20本
(上顎口蓋にワイヤー固定あり)
シェード:A3.5→A1〜D2
治療のリスク 準備中

case.2

BEFORE

AFTER

 

主訴 準備中
治療期間 準備中
治療費 4回照射 14,300円
治療内容 スーパーポリリン酸、ホワイトニング
治療のリスク 準備中

case.3 ホワイトニングと矯正の症例

BEFORE

AFTER

 

主訴 歯並びと歯の色が気になる
治療期間 準備中
治療費 ホワイトニング4回照射
14,300円(税込)
マウスピース矯正
550,000円(税込)
治療内容 ホワイトニング
マウスピース矯正
治療のリスク 前歯2本が神経失活していることでの変色の為、ホワイトニングだけでの改善が難しい可能性がある

case.4

BEFORE

2週間〜1ヶ月に2回照射ずつ、合計8回照射。初回の2回照射でサロンより白さを実感できたとのこと。

AFTER

オフィスホワイトニング8回照射後、定期的に照射し白さを持続させたいので再度8回券を購入。3〜6ヶ月の検診と一緒に2回照射を希望。
前歯部のCR付近のみトーンが上がりにくく、定期照射中、本人希望時に詰め直し。

 

施術内容

54歳女性 非喫煙者。1年ぶりの歯科医院。

初診時に検診・クリーニング。
ホワイトニングサロンにて回数券を購入しており、半年後再来院。
ホワイトニング前にメンテナンス済み。
本人はサロンでの仕上がりにあまり白さを実感できず、歯科でのホワイトニングを希望。

主訴 検診・ホワイトニング
治療期間 2ヶ月
治療費 オフィスホワイトニング8回照射
29,700円(税込)
治療内容 ホワイトニング
ポリリン酸ジェル:過酸化水素(1:3)薬剤を歯の表面に塗布し、LED照射し歯を漂白する治療
治療箇所:20本(前歯部にCR充填部位あり)
シェード:A3.5→C1〜A2
治療のリスク 前歯1本CR付近がの変色の為、ホワイトニングだけでの改善が難しい可能性がある

インプラントの症例

case.1

BEFORE

AFTER

BEFORE

AFTER

 

主訴 抜いたまま放置していたので、
どういう選択肢があるか
治療期間 3ヶ月
治療費 396,000円
治療内容 ネオデントインプラント、
ジルコニアクラウン
治療の
リスク
準備中

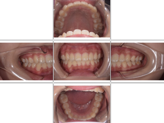
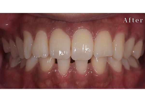
審美歯科の症例

case.1

BEFORE

AFTER

 

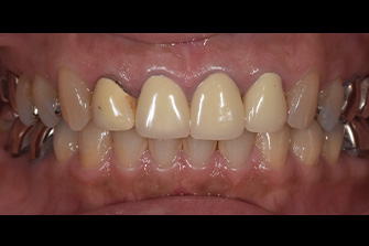
主訴 古い被せ物を綺麗にしたい
治療期間 1ヶ月
治療費 マルチレイヤージルコニアクラウン
1本 110,000円
治療内容 上顎前歯部4本
マルチレイヤージルコニアクラウン
治療の
リスク
特になし

case.2

BEFORE

仮歯

AFTER

 

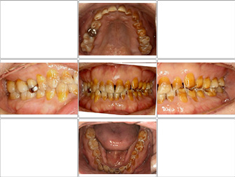
主訴 歯が溶けたので噛みづらい
レモンを1日1個必ず食べてる
治療期間 6ヶ月
治療費 マルチレイヤージルコニアクラウン
25本 2,750,000円
治療内容 マルチレイヤージルコニアクラウン
治療の
リスク
準備中

case.3

BEFORE

仮歯

 

主訴 準備中
治療期間 3週間
治療費 ジルコニアクラウン
99,000円×3本
治療内容 右上2抜歯後のジルコニアクラウンによるブリッジの症例
治療の
リスク
準備中

保険適用の移植症例

case.1

BEFORE

AFTER

BEFORE

AFTER

 

主訴 保険の範囲内で全部治療したい
治療期間 約1年
治療費 保険適用
治療内容 歯の移植
治療のリスク 親知らずを移植しているため根が短く、支えが弱い