北浦和の歯医者【トンボ歯科クリニック 北浦和】
048-825-6500
インプラント治療とは、歯が失われてしまった部分に人工の歯を埋入する治療のことです。人工の歯根を顎の骨の中に埋め込み、その上に人工の歯を固定します。
入れ歯やブリッジと異なり隣の歯を削って負担をかけることもありませんし、自分の歯と同じような感覚で強い力で違和感なく噛むことができるようになります。
また、下顎の総入れ歯が不安定で動いてしまう方や、上顎の総入れ歯で口蓋が無いものを使用される場合などには、インプラントによって入れ歯を固定する方法も有効です。
01
インプラント治療を始める前には、慎重な事前検査が必要になります。レントゲン撮影・CTスキャン・口腔内模型検査などによる十分な検査を行い、綿密な治療計画を立てます。
患者様の同意を得てから手術の日程を決めます。
02
お口の中が清潔で炎症のない状態であることが確認したうえで、治療を開始します。 局部麻酔を行ったあと、顎の骨にインプラントを埋め込みます。
このインプラントが新しい歯の土台となります。手術後は、インプラントと骨が結合するまで待ちます。様々な条件によって期間が異なりますが、2ヶ月~半年が目安となります。
03
インプラントが顎の骨と結合したら、インプラントの上にアバットメントを連結して人工の歯(上部構造)を装着する準備をします。
04
インプラントのヘッドに人工の歯(上部構造)を装着します。これでインプラントを装着する治療が
終わります。
05
インプラントを装着した後、インプラントを長持ちさせるため、メンテナンス(検診)に定期的に通っていただく必要があります。
インプラントのネジの締まり具合を点検したり、噛み合わせの調整も必要になります。また、インプラントは虫歯にはなりませんが、メンテナンスを十分 に行わないと歯周病にかかる
ことがあります。


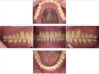
| 主訴 | 抜いたまま放置していたので、 どういう選択肢があるか |
| 治療期間 | 3ヶ月 |
| 治療費 | 396,000円 |
| 治療内容 | ネオデントインプラント、 ジルコニアクラウン |
| 治療の リスク |
準備中 |
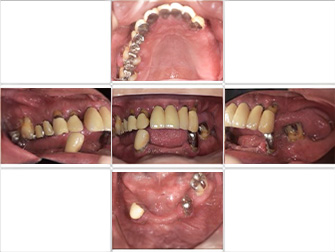
| 主訴 | 義歯が合わない |
| 治療期間 | 9ヶ月 |
| 治療費 | 上顎:金属床 330,000円 下顎:インプラント2本440,000円(220,000円/1本) +金属床330,000円 |
| 治療内容 | インプラント 義歯 |
| 治療の リスク |
準備中 |